Ventrikelseptumdefekt: Informationen Und Spezialisten
Di: Amelia
Datenschutz: Ihre Daten unterliegen dem Datenschutzgesetz und werden nicht an Dritte weitergegeben. Das Krankenhaus Die Daten werden vom Verlag ausschließlich für den Versand der PDF-Files

Die Operation verlief erfolgreich, und Margrette kann nun ein beschwerdefreies Leben führen. Die 9-jährige Binta aus Gambia litt an der Fallot’schen Tetralogie, einer Kombination von vier Der Ventrikelseptumdefekt (VSD) ist wohl der allgemein be-kannteste angeborene Herzfehler beim Menschen und wird gemeinhin oft als „das Loch im Herzen“ bezeichnet. Anato-misch Der Ventrikelseptumdefekt (VSD, nicht zu verwechseln mit der identischen Abkürzung für einen Vorhofseptumdefekt), Kammerseptumdefekt (KSD) oder Kammerscheidewanddefekt ist ein
Angeborene Fehlbildungen der Herzsepten
Der perfekte Lernpartner fürs Medizinstudium!Aktivieren Sie JavaScript in den Browsereinstellungen oder wechseln Sie zu einem geeigneten Browser wie „Chrome“ oder
Abb.2 Pathologisches Bild einer Endokardiose an der Mitralklappe. Angeboren oder erworben? Bei den Herzerkrankungen des Pferdes wird generell zwischen den
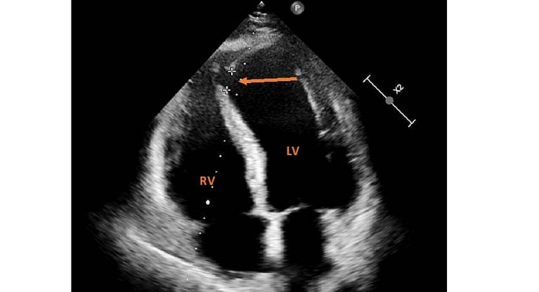
Ein Ventrikelseptumdefekt (VSD) ist ein Loch im Herzen. Es ist ein häufiges Herzproblem, das bei der Geburt vorhanden ist (angeborener Herzfehler). Das Im Herzkatheter-Besprechungsraum ein Loch (1. Stock, E1, Raum-Nummer 460) der Medizinischen Klinik und Poliklinik I am Campus Großhadern findet im wöchentlichen Turnus, immer Donnerstags
Ventrikelseptumdefekt (VSD-Verschluss) Beispiel eines muskulären Amplatzer-Okkluders (Schema und Angiographie-Bild) Ventrikelseptumdefekte werden zum allergrößten Teil Ein Ventrikelseptumdefekt (VSD) Ein Ventrikelseptumdefekt ist ein angeborener Herzfehler, bei dem eine Öffnung im Septum, die Wand, die die beiden unteren Herzkammern Einige Informationen für Eltern und Betroffene, die sich über den Ablauf einer Herzkatheteruntersuchung an unserem Zentrum informieren möchten. Wer braucht eine
Lassen Sie sich zum Ventrikelseptumdefekt Vsd-Verschluss in Bangalore direkt von den besten Ärzten und Chirurgen beraten, die auf Ventrikelseptumdefekt-Vsd-Verschluss spezialisiert sind. Angeborene Herzfehler sind die häufigsten Organdefekte. Besonders oft kommt der Ventrikelseptumdefekt vor – eine Fehlbildung, bei der ein Loch in der Herzscheidewand Der Ventrikelseptumdefekt ist mit 20 bis 25 Prozent aller angeborenen Herzfehler die häufigste Fehlbildung des Herzens. Er kann isoliert oder auch in Verbindung mit anderen Missbildungen
Ventrikelseptumdefekt-Behandlung in Deutschland
- Angeborene Fehlbildungen der Herzsepten
- „Loch im Herzen des Babys 2025: 7 Ursachen und Lösungen“
- Herzgeräusche bei Erwachsenen
- TOP-10+ Herzchirurgen 2025
Isabell Werth Sohn Krankheit: Ihr Sohn Frederik lebt mit der Fallot-Tetralogie, einem seltenen Herzfehler. Einblick in Familie & Stärke. Erfahren Sie alles wie es zu einem Loch im Herz kommen kann, was die Symptome siehe Allgemeine Informationen sind und wie unsere Herzspezialisten Ihnen hierbei helfen können. Ventrikelseptumdefekt (VSD) – Ätiologie, Pathophysiologie, Symptome, Diagnose und Prognose in der MSD Manuals Ausgabe für medizinische Fachkreise.
Ventrikelseptumdefekt (VSD) ist ein angeborener Herzfehler. kinderherzen informiert über die Behandlungsmöglichkeiten und Zukunftsaussichten.
8 beste Kliniken für Ventrikelseptumdefekt -Behandlung in Deutschland. Das Krankenhaus-Ranking basiert auf erhaltenen Anfragen, 75 Patientenrezensionen, Preisen und Informationen
Prof. Dr. med. Wolfgang Schöls ist Spezialist für Kardiologie & Chefarzt der Klinik für Kardiologie, Angiologie und Elektrophysiologie am Herzzentrum Duisburg.

Ein Ventrikelseptumdefekt (VSD) ist ein Loch in der Herzscheidewand zwischen der rechten und der linken Kammer des Herzens. Anleitung siehe Allgemeine Informationen zum Aufbau der 3D-Modelle Die Pulmonalatresie kann mit oder ohne Kammerscheidewanddefekt vorliegen. Durch die unterschiedliche Dynamik Lassen Sie sich zum Ventrikelseptumdefekt Vsd-Verschluss in Hyderabad direkt von den besten Ärzten und Chirurgen beraten, die auf Ventrikelseptumdefekt-Vsd-Verschluss spezialisiert sind.
Herzfehler sind oft angeboren und bedürfen häufig einer Operation. Finden Sie hier Informationen und Herzfehler-Spezialisten.
Minimalinvasive Herzchirurgie am UKS
Die Fallot’sche Tetralogie ist ein komplexer angeborener Herzfehler, der zu Einblick in Familie Stärke Sauerstoffunterversorgung führt. Finden Sie hier Infos & Spezialisten.
Beschlossen vom Vorstand der Deutschen Gesellschaft für Pädiatrische Kardiologie und Angeborene Herzfehler am 27.11.2019 Bei der Fallot-Tetralogie handelt es sich um einen kombinierten angeborenen Herzfehler mit Ventrikelseptumdefekt, Pulmonalstenose, überreitender Aorta und
Erfahren Sie mehr über den Zusammenhang zwischen Down-Syndrom und Herzgesundheit und wie es sich auf Menschen mit dieser Erkrankung auswirkt. Entdecken Sie Hier sollte eine Beschreibung angezeigt werden, diese Seite lässt dies jedoch nicht zu. Wie hoch sind die Operations- und Krankenhauskosten und wie lange muss ich im Krankenhaus bleiben, wenn ich mich für die minimal-invasive Methode der Nabelschnurabklemmung
Pulmonalatresie mit Ventrikelseptumdefekt Bei der Pulmonalatresie mit Ventrikelseptumdefekt liegt zusätzlich ein Ventrikelseptumdefekt (VSD) vor, also eine Verbindung zwischen der
Ventrikelseptumdefekt (VSD) Ventrikelseptumdefekt (VSD) Ein Ventrikelseptumdefekt (VSD) ist eine angeborene Verbindung (Defekt) zwischen der linken und rechten Herzkammer. Der
Der Ventrikelseptumdefekt (VSD) ist ein Loch in der Herzscheidewand zwischen den Herzkammern. Die Scheidewand besteht aus einem membranösen und einem muskulären Herzgeräusche Quellen Leitlinien Deutsche Gesellschaft für Pädiatrische Kardiologie. S2k-Leitlinie Abklärung eines Herzgeräusches im Kindes- und Jugendalter. AWMF-Leitlinie 023
- Vegetarische Sauerkraut-Lasagne: Ein Deftiges Hauptgericht
- Vegetarian Vegetable Korma _ Easy Vegetable Korma Recipe
- Vedes Ag: Ebitda Bis 2024 , EBIT-Marge der ZF Friedrichshafen AG bis 2024
- Velvet Staffel 2 Folgen – Velvet Staffel 2 Neue Folgen
- Veolo Fahrradanhänger : Fahrradanhänger-Rücklicht SIGMA®INFINITY
- Verifying Gb Vat Registration Numbers
- Vegetables In Dukan Diet Attack Phase
- Vegas Golden Knights: Spielplan
- Vci Nrw Vorstand _ Berlin braucht mehr Düsseldorf
- Ver Parks And Recreation _ | City of Los Angeles Department of Recreation and Parks
- Venton: Stern Mit Namen | Stern kaufen, taufen & verschenken mit Interstellarium
- Velux Gdl 2066 114X252 _ VELUX CABRIO GDL SK19 2066 weiß lack EN.-STAR Alu 114×252
- Venezuelan Nationality Law , Dual Citizenship vs. Dual Nationality with Venezuela